Cimbak Dental

GUM TREATMENT

CIMBAK DENTAL CLINIC

Gum Disease Is Dangerous

Many patients know that gum disease affects a smile’s appearance, but are you aware that this progressive condition can actually cause serious harm? Gum disease begins with an infection of the gum tissue that can quickly progress until bone is irreversibly destroyed and teeth are at a risk for being lost. Our gum disease treatment is designed to target and remove disease-causing bacteria and return health back to the gums, teeth, and bone.

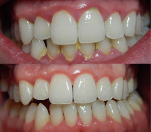
Do your gums bleed when you brush or floss or have you noticed they appear tender or swollen? You may have gingivitis, the first stage of gum disease. Seeking treatment at the first signs of gum disease can help preserve the health of your smile! At Cimbak Dental Clinic, Port Harcourt, we are pleased to provide gum disease treatment for our patients.

Saving Your Smile from Gum Disease

Our goal with gum disease treatment is to preserve the health of the gums, bone, and teeth by removing disease-causing infection and bacteria. But restoring health to the smile can also keep you from experiencing more serious complications that result from untreated gum disease. Studies show a link between chronic gum disease and systemic issues, including heart disease, diabetes, and others, making timely treatment all the more critical to restoring oral and overall health. Comprehensive gum disease treatment from Cimbak Dental Clinic can:

  • Eliminate chronic low-grade infection of the gum tissue
  • Halt the spread of bacteria throughout the mouth and body
  • Preserve the integrity of bone structure around teeth
  • Save loosening teeth from falling out or needing extraction
  • Restore health to the gum tissue and reduce pocket depth
  • Return your smile to a healthy, attractive, and functional state!

Gum Disease Treatment Options

Curretage & Root Planing

The first step in treating gum disease is non-surgical curretage and root planing. A “deep” clean, curretage removes the plaque and tartar from the teeth and root planing smooths and reshapes the surface. This allows the healthy gums to reattach to the teeth, minimizing the depth of periodontal pockets.

Osseous Surgery

Severe cases of gum disease need surgical treatment to remove the diseased gum tissue and bacteria, plaque, and tartar from around the teeth. Osseous surgery removes gum tissue, cleans the teeth, reshapes the damaged bone, and secures tissue back to the teeth to encourage new tissue and bone growth.

Periodontal Maintenance

Patients treated for gum disease require routine monitoring of their gum health to ensure the disease doesn’t develop again. Periodontal maintenance does this through deep cleanings of the teeth every 3-4 months to remove plaque and tartar that build up above and below the gumline.